Kontakt
Zahnarzt Hamburg, HafenCity – Dr. Jalilvand & Kollegen

Leistungen

Vorher-Nachher-Bilder

Krone mit CAD/CAM-Verfahren in nur einer Sitzung

Vollkeramikkronen

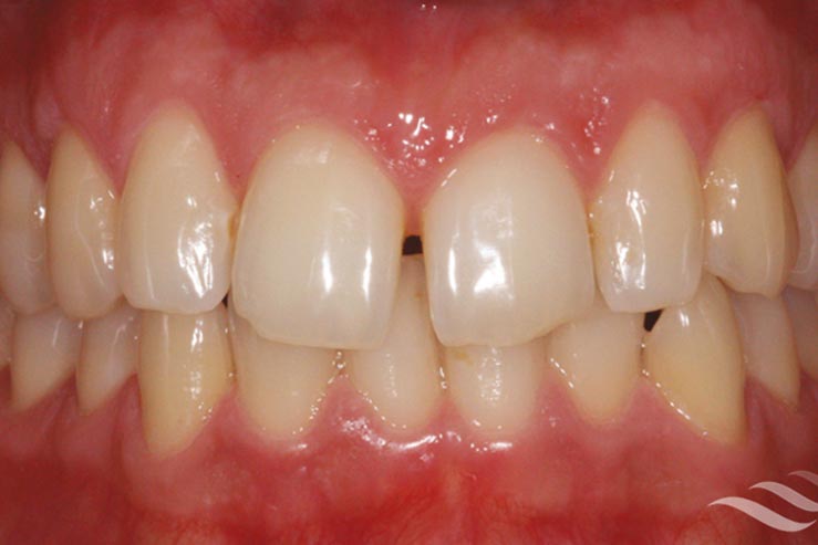
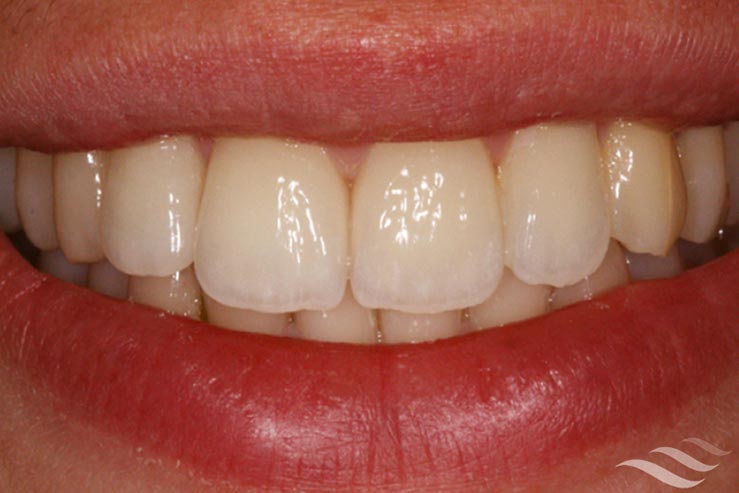
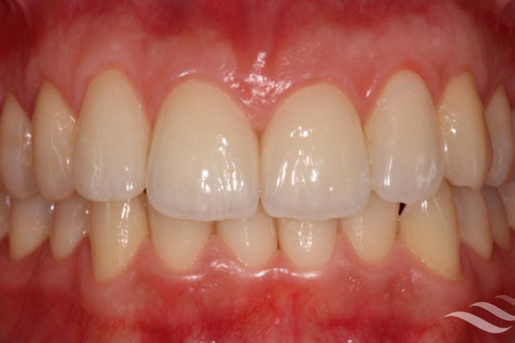
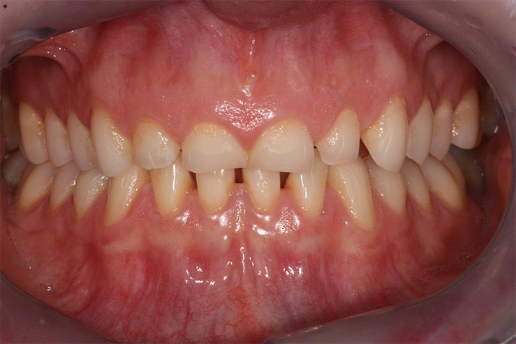
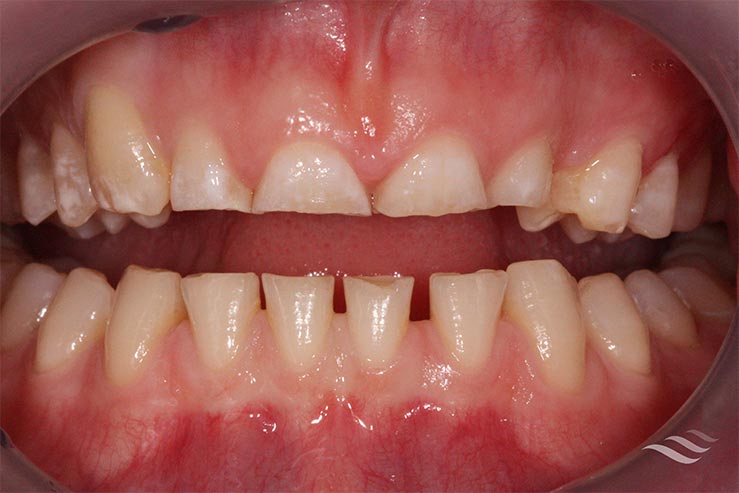
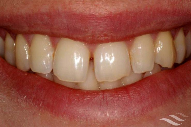
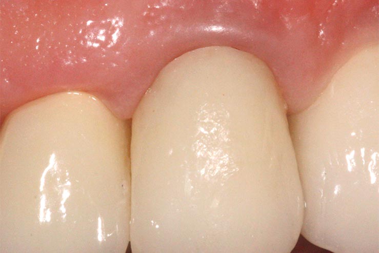
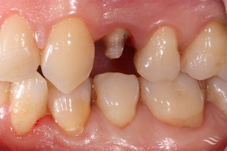
Vollkeramikkronen (Patient A)

Vollkeramikkronen (Patient A)

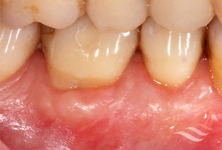
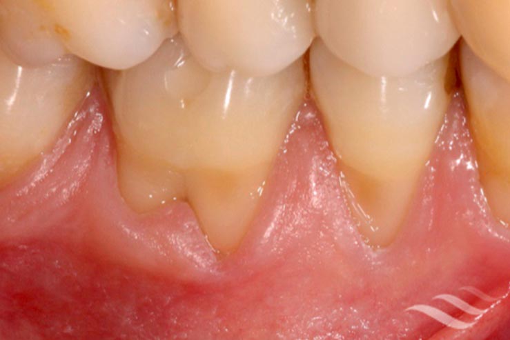
Rezessionsdeckung

Rezessionsdeckung

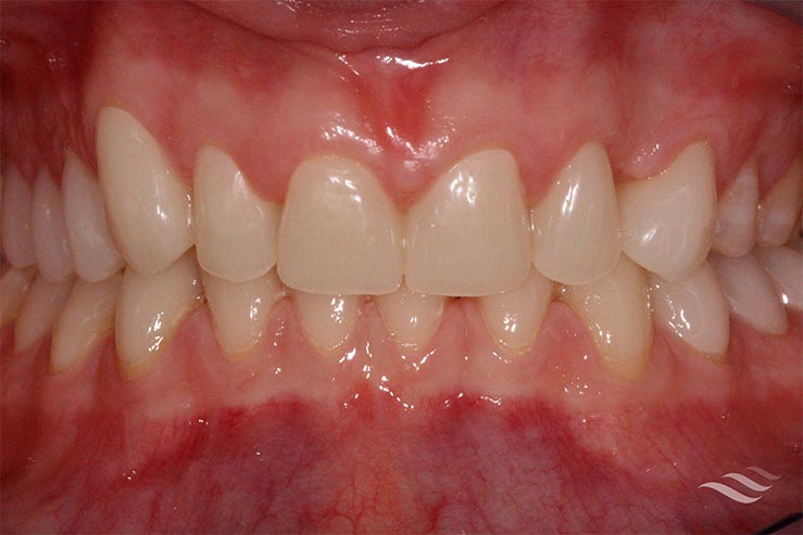
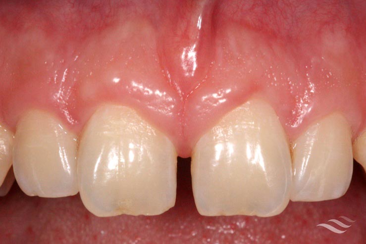
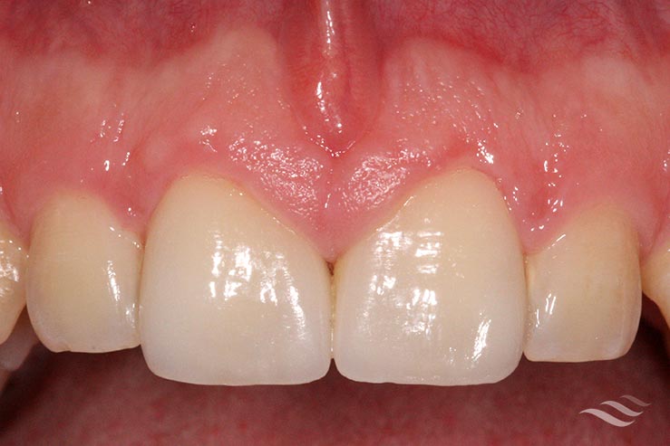
Veneers (Patient B)

Veneers (Patient B)

Veneers

Veneers